Način in trajanje zdravljenja zlomov kosti je odvisno od oblike in mesta zloma ter prisotnosti pridruženih poškodb.
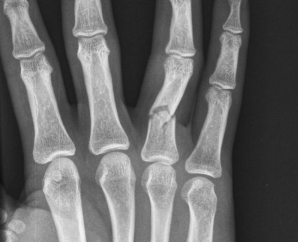
Vsaka od kosti na roki se lahko zlomi. Oblika zloma je odvisna od smeri in jakosti delovanja sile. Zlom je lahko enostaven (dva odlomka) ali zdrobljen (več odlomkov). Če je prisotna rana na koži je zlom odprt. Pri sklepnih zlomih lomna poka prečka sklepno površino. Zlomom so pridružene poškodbe mehkih tkiv.
Znaki zloma so bolečina, oteklina, modrica in zmanjšana gibljivost. Zardi sočasne poškodbe ali pritiska odlomkov na živce se lahko pojavi mravljinčenje ter odrevenelost. Večji premik odlomkov spremljata sprememba oblike ali prikrajšava prstov. Z rentgenskim slikanjem v dveh projekcijah zlom potrdimo in ga natančneje opredelimo.
Način zdravljenja je odvisen od vrste in mesta zloma ter pridruženih poškodb okolnih struktur. Cilj zdravljenja je čimboljša naravnava odlomkov, ki jih je potrebno zadržati v pravilnem položaju in omogočiti celjenje. Zlome brez ali z majhni premikom odlomkov zdravimo z mirovanjem v opornici ali mavcu. Enako zdravimo tudi zlome, ki jih naravnamo in pričakujemo, da se ob mirovanju ne bodo premaknili. Za učvrstitev zlomov lahko uporabimo tudi tanke žice, ki jih ob ustrezni anesteziji, z vrtalko uvedemo skozi kožo. Pri odprtih zlomih in zlomih, ki jih ne moremo naravnati ali zadržati v željenem položaju moramo prerezati kožo ter si zlom prikazati. Po naravnavi ga v pravilnem položaju zadržimo z vijaki, ploščicami ali žicami. Pri močno zdrobljenih zlomih uporabimo zunanji fiksater – ogrodje, ki učvrsti kostne odlomke preko žic, ki jih uvedemo skozi kožo. Za uspešno zdravljenje sklepnih zlomov je potrebno doseči čim boljše ujemanje sklepnih površin. Pri zlomih na roki je pomembno, da učvrstitev (osteosinteza) omogoča zgodnje razgibavanje, saj dolgotrajna imobilizacija vodi v slab funkcionalni rezultat.
Na izid zdravljenja vplivajo številni dejavniki. Praviloma so rezultati zdravljenja slabši, če zlom sega v sklep, če so poškodovane tudi kite in živci in če bolnik ne sodeluje pri rehabilitaciji. Zlomi na roki celijo šest do osem tednov vendar z razgibavanjem pričnemo prej. Rehabilitacija traja več mesecev vendar kljub temu pogosto okorelih prstov ne uspemo v celoti razgibati.
Zapleti pri zdravljenju zlomov so okužba, nepravilno zaraščanje ter omejena gibljivost, ki nastane zaradi nepravilnosti sklepnih površin, skrčenja obsklepnih struktur ali priraščanja kit. Pozni zaplet zdravljenja sklepnih zlomov je artroza, ki nastane zaradi poškodb hrustanca ali nepravilnega obremenjevanja zaradi neujemanja sklepnih površin.