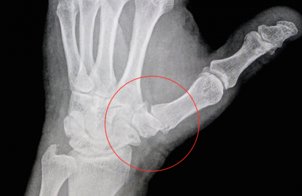
Sklep med palčevo dlančnico in zapestno kostjo (trapecium) ima velik obseg gibljivosti in je najbolj obremenjen sklep na roki
Sklepni hrustanec ščiti kost in omogoča gladko drsenje sklepnih površin brez bolečin. Osteoartritis je degenerativna bolezen pri kateri se sklepni hrustanci obrabijo in gibanje v sklepu postane boleče. Postopno se zaradi pridruženih sprememb na kosteh in obsklepnih strukturah spremeni oblika sklepa. Sklep med palčevo dlančnico in zapestno kostjo (trapecium) ima velik obseg gibljivosti in je najbolj obremenjen sklep na roki. Pogosto se v tem sklepu pojavi osteoarthritis imenovan tudi rizartroza (lat.risarthrosis).
Bolezen nima znanih jasnih vzročnih dejavnikov. Pogostejša pri ženskah nad 40 letom starosti. K razvoju bolezni pripomorejo: pogoste obremenitve, dedna nagnjenost, poškodba sklepa in prirojena ohlapnost sklepov.
Značilna je bolečina v predelu sklepa, ki je izrazitejša ob določenih gibih (odpiranje kozarcev, odklepanje vrat, pisanje) in ob pritisku na obolelo področje. S časom se zmanjša obseg gibljivosti v sklepu, bolečina pa postane stalna in se pojavi tudi ponoči. Pri nepredovalih oblikah bolezni se sklep delno izpahne, kar se pokaže z izboklino v predelu sklepa in spremenjenim položajem palca, ki je primaknjen k dlani. Posledično se prekomerno iztegne srednji palčev sklep in palec dobi značilno obliko črke Z. Diagnozo potrdimo s posebnimi testi in retngenskim slikanjem.
V začetnih oblikah z protibolečinskimi in protivnetnimi zdravili ter opornicami. V večini primerov bolečino lahko omilimo z vbrizgavanjem topnih kotikosteroidov v sklep, vendar učinek postopno izveni in poseg je potrebno ponoviti. Operacija je potrebna pri napredovalih oblikah in ob neuspešnem konzervativnem zdravljenju. Cilj operativnega zdravljenja je zagotoviti čvrst prijema in odpraviti bolečine. Glede na stopnjo okvare ter želje bolnika se odločimo za:
- odstranitev in rekonstrukcijo sklepa (interpozicijska artroplastika)-najpogosteje
- zatrditev sklepa (artrodeza)
- zamenjavo sklepa z umetnim sklepom
- spremembo oblike kosti (korektivna osteotomija)